/Hauterkrankungen /Akne Akne
Therapie auf 1 Klick
|
Akne comedonica
|
Akne papulopustulosa
leicht - mittelschwer - schwer
|
Akne conglobata
|
|

|
 |

|
|
Nicht entzündliche Form, tritt selten allein auf
|
entzündliche Papeln und Pusteln die sich sekundär aus Komendonen bilden
|
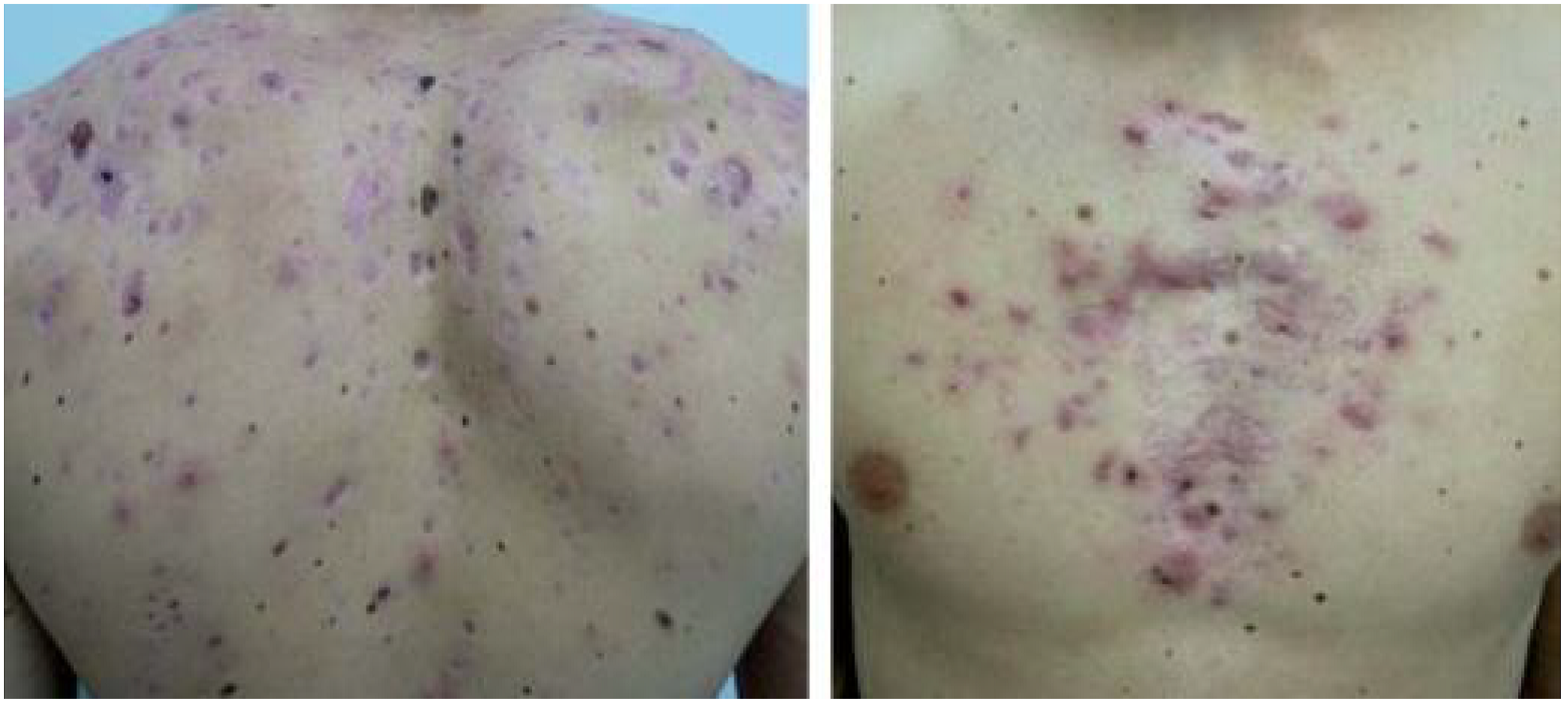
schwerste Form der Akne, häufig junge Männer, multiple einschmelzende Knoten, die sich in Fistelkomedonen und Zysten umwandeln. Begleitend kommt es zur Narben- und Keloidbildung
|
Häufigkeit
- 70 bis 95 % unter den Jugendlichen.
- 30 % benötigen eine medikamentöse Behandlung.
- Bei der Mehrzahl spontane Rückbildung nach der Pubertät
- 10 % persistieren über das 25. Lebensjahr hinaus
- 2 bis 7 % Narbenbildung
Beobachtet wird eine zunehmende Tendenz postadoleszenter persistierender Akne

Grundsätzliches
| Alkoholische Gele können verstärkt zu Trockenheit und Irritationen der Haut führen, Cremes oder Suspensionen haben keine austrocknende Wirkung und werden kosmetisch gut vertragen. Die lokale Akne-Therapie sollte in der Regel zweimal täglich erfolgen. |
Literatur:
Andrea Roethlin Akne und Aknetherapeutika mit Schwerpunkt auf pharmakologische Aspekte 2015
Christos Zouboulis Moderen Akne-Therapie 2003
Akne
erstellt 2018 |